UC矯正歯科クリニック麻布十番(東京港区)の症例
開咬の矯正治療例(20代男性・治療期間2年1ヶ月)

開咬(前歯が開く)の治療例(Before&After)と解説 年齢・性別 20代男性 治療期間 2年1ヶ月 抜歯 なし 治療費 88万円(税込) 備考 舌の悪いクセ、マルチブラケット法 リスク等 ・歯の移動に伴う […]
開咬の矯正治療例(20代女性・治療期間3年7ヶ月)

開咬(前歯が開く)の治療例(Before&After)と解説 年齢・性別 20代女性 治療期間 3年7ヶ月 抜歯 なし 治療費 88万円(税込) 備考 歯科矯正用アンカースクリューを用いた矯正、舌の悪いクセ リス […]
過蓋咬合の矯正治療例(10代男性 治療期間3年5ヶ月)

過蓋咬合(深い咬み合わせ)の治療例(10代男性・治療期間3年5ヶ月) 年齢・性別 10代男性 治療期間 3年5ヶ月 抜歯 上の左右1本ずつ(上顎両側第一小臼歯) 治療費 88万円(税込) 備考 成長方向のコントロール、マ […]
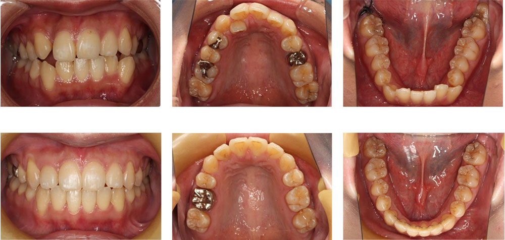
非抜歯矯正の治療例(20代女性・治療期間1年6ヶ月)

非抜歯矯正の治療例(Before&After)と解説 年齢・性別 20代女性 治療期間 1年6ヶ月 抜歯 なし 治療費 88万円(税込) 備考 歯を抜かない矯正・歯科矯正用アンカースクリューを用いた矯正 リスク等 […]
非抜歯矯正の治療例(20代女性・治療期間3年7ヶ月)

非抜歯矯正の治療例(Before&After)と解説 年齢・性別 20代女性 治療期間 3年7ヶ月 抜歯 なし 治療費 88万円(税込) 備考 歯を抜かない矯正・歯科矯正用アンカースクリューを用いた矯正 リスク等 […]
八重歯・叢生の矯正治療例(20代女性 治療期間1年9ヶ月)

20代女性です。前歯が奥に入ってしまっていることを気にされて来院されました。分析の結果、上下左右の歯を1本ずつ抜かせて頂いて矯正治療を行うことにしました。治療方針として・・・
八重歯・叢生の矯正治療例(50代女性 治療期間2年4ヶ月)

50代の女性です。八重歯が気になるとのことで来院されました。口の中の状況としてはむし歯治療が済んでいる歯が多く、金属の被せ物が多いこと。上の歯が左右1本無く、左上に八重歯を認め・・・
八重歯・叢生の矯正治療例(20代女性 治療期間5年(11ヶ月休止)

20代の女性です。右上の前歯が奥に入っていることを気にされて来院されました。分析の結果、上下左右の歯を1本ずつ抜いて矯正治療を行いました。患者さんは治療中の見た目も気にされ・・・
八重歯・叢生の矯正治療例(30代女性 治療期間2年6ヶ月)

30代の女性です。歯並びが悪いことを気にされて来院されました。右下の被せ物をしてある歯は、歯の神経の治療が不良で抜歯が必要でした。通常その奥歯を抜いてしまうとその部分は・・・
八重歯・叢生の矯正治療例(中学生女子 治療期間1年11ヶ月)

中学生の女子です。右上の大人の糸切り歯(犬歯)が生えてこないことが気になって来院されました。検査をすると右上に現在はえているのは子どもの歯で、大人の犬歯は骨の中に埋まっていました・・・


