部分矯正の治療例
矯正歯科治療は公的医療保険適用外の自費(自由)診療となります。
このページの目次
最短3ヶ月、16.5万円(税込)~できる歯科矯正!部分矯正とは?

部分矯正は、お口環境で部分的に気になる歯並びに対して行なう治療法ですので、各症状も患者さまによって異なります。一つの特徴として、「部分矯正をしても噛み合わせ全体に大きな影響を与えないもの」が主体となってきます。
具体例としては、歯の凸凹やすきまなどの比較的目につきやすい軽微な不正歯列を整える際によく利用されます。治療にかかる期間や費用を大幅に抑えられることが大きなメリットとして知られています。
半年程度(最短で3ヶ月)でお悩みを解消!

治療期間は、お口環境により多少異なりますが、軽微な不正歯列であれば3ヶ月程度、長くても半年程度でキレイな歯並びを手にすることができます。
通常矯正治療であれば、2年程度の矯正期間を要し、治療後も後戻り防止の装置をつける必要があります。このため部分矯正は治療期間に対してもたらす効果が相対的に大きくなるという特徴があります。
安価で治療が可能!16.5万円~!

UC矯正歯科クリニックでは、部分矯正の治療費を16.5万円(税込)から承っております。全体矯正では、80~100万円前後必要になるため、コスト面でも非常にメリットがあります。
さらに、医療費控除によりかかった治療費分の税金が返ってきますので、よりお安く矯正治療を受診することも可能です。
歯を動かす痛みも生じにくい!

UC矯正歯科クリニックでは、前歯の部分矯正に関しましては抜歯をせずに移動させる方針を取っているため、移動距離も少なく痛みを大幅に抑えることができます。お口環境により多少痛みを生じるようなケースでも、3ヶ月から半年程度の短期間ですので、強いストレスを生じることなく乗り切っていただくことができます。
部分矯正で治ること、治らないこと
おかげさまで新患の患者様から予約を頂く中で多いのが、部分矯正で治るかどうかという問い合わせです。(ホームページのお問合わせから画像を送って頂ければ、私が画像から分かる範囲で症状や治療方針についてコメントさせて頂いておりますので、是非ご活用ください!)
多くの場合、歯並びや見た目を気にされて問い合わせいただいていますが、部分矯正で治せるところは歯並びや見た目だけです。気になっている歯並びや見た目が治れば良いじゃないかと思われるかもしれませんが、本来治すべき咬み合わせや口元の突出感などを改善する事は難しいことが多いです。
そういった方に治せるところと、治らないところがあるということを説明しますと、やはり悩まれる方が非常に多いです。そういった方にお勧めなのは、「まず部分的な矯正治療から始めてみて、全体矯正はあとで考える」ということです!
あとで部分矯正から全体的矯正へ移行しても差額分のみ!
局所的な部分矯正を行って気になっていたところが改善した後に、咬み合わせや口元などについても治していきたいとお思いになれば差額分をお支払い頂くことで全体的な矯正治療に移行することも可能になっております。
一般的な矯正歯科ですと部分矯正治療費も、全体的矯正治療費も両方かかるという矯正歯科医院がありますが、当院では差額分しかいただいておりませんので、部分矯正か全体矯正か悩まれる方でも悩むことなく部分矯正から始められます!
部分矯正の治療例(Before&After)と解説
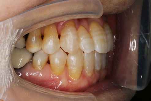
①部分矯正の矯正治療例(20代女性・治療期間3ヶ月)

| 年齢・性別 | 20代女性 |
|---|---|
| 治療期間 | 3ヶ月 |
| 抜歯 | 上の左右1本ずつ |
| 治療費 | 16.5万円(税込) |
| 備考 | IPR |
20代の女性です。下の前歯の並びが悪いことを気にされて来院されました。患者さんの希望もあり、下の前歯だけに矯正装置を付けて部分矯正を行うことにしました。しかしながらそのまま並べてしまうと上の前歯と干渉が起きてしまうので、下の前歯の側面を少しだけ削ること(IPR)で問題を解消しました。治療も綺麗に並べられた上に短期間で終わらせることが出来たので、患者さんも満足されていました。
②部分矯正の矯正治療例(50代女性・治療期間6ヶ月)

| 年齢・性別 | 50代女性 |
|---|---|
| 治療期間 | 6ヶ月 |
| 抜歯 | なし |
| 治療費 | 25.3万円(税込) |
| 備考 | 裏側矯正 |
50代の女性です。前歯が片方だけ前に出てしまっていることを気にされて来院されました。患者さんは咬み合わせも含めた全体的な矯正治療は希望されず、また表に矯正装置が付くことも希望されなかったので、部分矯正を裏側から行うことにしました。
通常、上の前歯だけの部分矯正となると、下の前歯との関係性によってはおススメ出来ない場合もあるのですが、今回は問題なく前治療を行えました。治療後は出ていた歯も綺麗に並び、隙間も閉じました。
③部分矯正の矯正治療例(60代男性・治療期間12ヶ月)

| 年齢・性別 | 60代男性 |
|---|---|
| 治療期間 | 12ヶ月 |
| 抜歯 | なし |
| 治療費 | 16.5万円(税込) |
60代の男性です。下の前歯が歯槽膿漏で抜歯され隙間が開いてしまい近くの歯科医院に相談したところ、抜けた歯の左右の歯を削って被せ物で治すことを提案されたそうですが、ご本人は奥に入ってしまっている前歯を並べることで隙間が閉じないかどうか相談したいとのことで来院されました。
年齢的に治療期間が長くかかってしまうことを説明し承諾を頂いた上で患者さんの希望もあり、下の前歯だけに矯正装置を付け部分矯正を開始しました。治療に際して右下の前歯が反対の咬み合わせになっていることを指摘させて頂きまして、同部の治療もお勧めしましたが、
①矯正装置を上の前歯、右下の奥歯まで付けなければならないこと。
②治療期間が半年程度長くなってしまうこと。
③治療の料金も高くなってしまうこと。
以上の点から患者さんは右下の前歯の咬み合わせは治さないでそのままの状態で終了したいとのことでした。治療後は元々あった隙間を閉じることは出来ましたが、下の前歯を綺麗に並べてしまうと上の前歯と干渉してしまうために1本はどうしてもずれたままの状況にせざるを得ませんでした。しかしながら患者さんは歯を削らずに前歯の隙間が閉じたことに満足されていました。
治療前

治療後

UC矯正歯科クリニック麻布十番院長の内田が実際に行った、部分矯正症例のその他の治療例はこちらからご覧ください。
麻布で部分矯正治療をお考えの方はぜひ無料相談へ

UC矯正歯科クリニック麻布十番では、矯正歯科界のトップ1%未満に属する矯正治療指導医が部分矯正治療を担当します。また、歯並び無料相談・セカンドオピニオンも実施しておりますので、麻布で部分矯正治療をお考えの方はぜひお気軽に当院までお電話いただくか、またはメール相談(写メ相談)をお送りください。
部分矯正治療実績豊富な矯正歯科専門医が、あなたの笑顔をより素晴らしいものにするお手伝いをさせていただきます。


