子どもの反対咬合の矯正治療例|UC矯正歯科クリニック麻布十番(東京港区)

マウスピース矯正/舌側矯正対応

麻布十番駅より徒歩2分

マウスピース矯正

東京都港区麻布十番1-5-19 ラトリエ・メモワールビル3階

お問い合わせ・ご相談

大人も子供も、矯正治療相談実施中

03-3408-5079

子どもの反対咬合の矯正治療例

矯正歯科治療は公的医療保険適用外の自費(自由)診療となります。

子どもの反対咬合(受け口)の症状について

子どもの受け口の治療例

「受け口」は歯科での正式名称として「下顎前突」「反対咬合」と呼びます。特に小児の下顎前突の場合、矯正治療を受けるか受けないかで、成人になった際の顔の形が大きく変わってしまいます。保護者の方で、お子さまの状態が気になっていらっしゃる方は、まずは当院で無料の初診相談をおすすめいたします。

反対咬合の原因

反対咬合の原因は5つに分類されます。

下の前歯が前方に出ている

下の顎骨が前方に出ている

上の前歯が後方に下がっている

上の顎骨が後方に下がっている

前歯の咬み合わせの問題で、顎がズレて前方で噛んでしまっている

多くの場合、これらが併発しています。症状の重症度はそれぞれ違いますが、放置したまま成人になると、成長の過程で症状がより悪化する場合が多いので、気になっていらっしゃる親御さんは、お早めにお子さんを診察させていただきたいと思っております。

子どもの反対咬合に適した治療開始時期は5~7歳

子どもの反対咬合に適した治療開始時期反対咬合は、その程度によって将来的に手術が必要になってしまう場合もあり、5~7歳程の、なるべく早い段階で治療を始めたいケースです。

特に原因⑤の「前歯の咬み合わせの問題で、顎がズレて前方で噛んでしまっている」は、早期に治療を開始することで、比較的短期間のうちに治るだけでなく、使用する装置も他の装置に比べ小さいお子さまでも使用しやすい装置になっています。そしてその後の矯正治療の必要が無くなる場合もあります。

また、原因③の「上の前歯が後方に下がっている」ケースの場合も、上顎骨の成長は8~9歳でほぼ終了してしまうので、その時期に向けて治療をすることで比較的スムーズに上顎骨を前方へ成長促進を促せます。

小児の反対咬合を治療しなかった場合

お子さまの反対咬合を成人になるまでに改善しておかないと、受け口になってしまいます。そして多くの場合、症状は悪化しています。また顔立ちも下顎が大きくなって、横顔が三日月のようになります。

治療が非常に難しくなるのは原因②「下の顎骨が前方に出ている」です。この場合ほとんどのケースが、遺伝的に下顎が大きくなってしまっています。お子さまのご両親もしくはご親類の方の中で、反対咬合の方がいらっしゃる場合、顔が似ますので、お子さまも反対咬合になる可能性が非常に高くなります。そして多くの場合、成人矯正にて手術を伴った外科矯正治療が必要になります。その場合の治療方針についてもご説明いたしますので、まずは無料相談をご利用ください。

小児の反対咬合の治療の基本

小児の上顎前突の治療治療で最優先に考えなければならないのは、反対咬合の原因を突き止め、反対咬合を改善することです。矯正装置は「可撤式装置(取り外しの出来る装置)」を使用することもありますが、症状が悪い場合など通常小児矯正ではあまり使用しない「固定式装置」を用いて改善を図ります。

多くの場合、反対咬合だけでなく叢生を伴うことが多いので同時に改善を図る場合と、まずは反対咬合を治してから叢生の改善を図る場合もあります。

通常、小児矯正の終了時期は、第二次性徴が終了し身体の発育が落ち着いた段階、口の中では12歳臼歯が萌える頃になりますが、反対咬合の方は、ケースによって遅れて下顎の骨が大きくなることがあります。そのため経過観察の時期を伸ばす場合もあります。

子どもの受け口の矯正治療例(Before&After)と解説

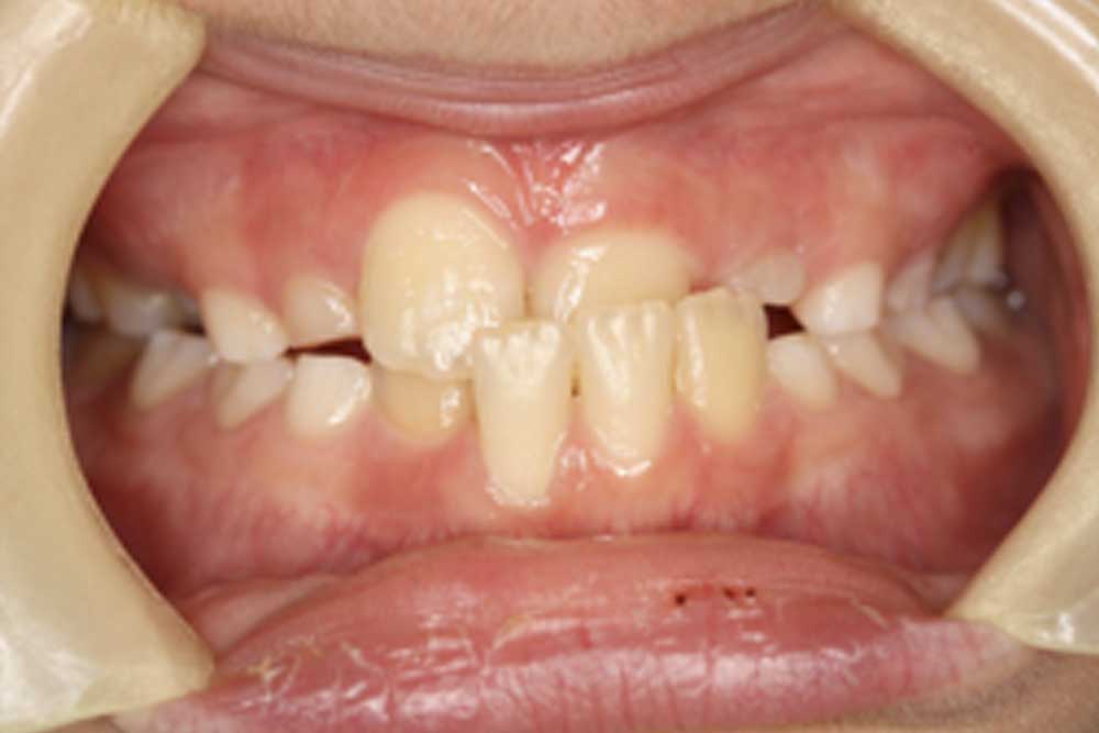
①子どもの受け口の矯正治療例(8歳男児・治療期間6ヶ月)

子どもの受け口の治療例

年齢・性別 8歳男児
治療期間 6ヶ月
抜歯 なし
治療費 44万円(税込)
備考 自閉症

小学生の男児です。前歯の咬み合わせが逆になってしまっていることを親御さんが気にされて来院されました。このままでは成人になった時に、手術をしなければ良好な咬み合わせが得られない可能性が非常に高い状況です。

分析の結果、取り外しの出来る矯正装置を使用することで改善を図りました。患者さんは軽度の自閉症を患っており、治療当初コミュニケーションが難しい時期もありました。しかし粘り強く対話していくことで次第に打ち解けられ、矯正装置を大変真面目に使用して頂くことが出来ました。結果的に前歯の咬み合わせは改善しました。これで手術の可能性は限りなく0%になりました。

②子どもの受け口の矯正治療例(10歳女児・治療期間6年)

子どもの受け口の治療例

年齢・性別 10代女児
治療期間 6年
抜歯 上下左右1本ずつ
治療費 44万円(税込)+44万円(税込)
備考 こども矯正+成人矯正

小学生の女児です。前歯の咬み合わせが逆なことを気になさって来院されました。分析の結果、上のあごの骨の成長不足によって、咬み合わせが逆になってしまっていることが分かりました。そこで矯正治療として上のあごの骨の成長を促進させる装置を使うことにしました。

また、骨の大きさも歯の本数と比べると小さ過ぎることも分かっていたので、当初から子ども矯正治療だけでは良好な咬み合わせにならないこと、良好な咬み合わせにするためには成人矯正を行わなければならないことを説明しました。

こども矯正の最中に患者さんは中学受験があり、一時矯正装置の使用が難しい時期もありましたが、こども矯正での目標であった上のあごの骨の成長を促進させることが出来たので、前歯の咬み合わせも正常にすることが出来ました。しかしながら当初説明していたように、歯並びは悪い状態のままです。そこで再度分析をし、成人矯正に移行させて頂きました。

治療方針として上下左右1本ずつ歯を抜かせて頂いて、引き続き矯正治療を継続しました。成人矯正の最中には今度は高校受験がありましたので、来院の度に受験勉強の大変さを聞きながら励ましたりもしました。結果的に高校も無事合格。歯並び、咬み合わせも良好になりました。

治療期間は小学生から高校生までと長期間かかりましたが、一貫した治療方針で治療を行えたことが良好な結果が得られた大きな要因だと思っています。また別の話ではありますが、長期間治療を携わることが出来るので、患者さんの成長の過程も見ることが出来るのが、矯正歯科医の喜びだったりもします。

治療前

治療前

治療後

治療後

UC矯正歯科クリニック麻布十番院長の内田が実際に行った、子どもの受け口症例のその他の治療例はこちらからご覧ください。

子どもの受け口症例ページ

麻布で子どもの受け口の矯正治療をお考えの方はぜひ無料相談へ

子どもの受け口の矯正治療歯科

UC矯正歯科クリニック麻布十番では、矯正歯科界のトップ1%未満に属する矯正治療指導医が子どもの受け口の矯正治療を担当します。また、歯並び無料相談・セカンドオピニオンも実施しておりますので、麻布で子どもの受け口治療をお考えの方は、ぜひお気軽に当院までお電話いただくか、またはメール相談(写メ相談)をお送りください。

子どもの受け口治療実績豊富な矯正歯科専門医が、あなたの笑顔をより素晴らしいものにするお手伝いをさせていただきます。

トップへ戻る

AIに質問する